治療例
大手町・丸の内・東京・八重洲・築地の矯正歯科専門 虫歯治療、歯周病、親知らず、ホワイトニング等の一般歯科治療は行っておりません。
トータルフィー 定額制
トータルフィー(総額制)ですので、毎回の調整費がかかりません。基本的、追加で料金はかかりませんので、期間が延長しても安心して受診できます。
セラミックブラケット 基本料金+調整費 総額 100万+税が都内の矯正歯科専門の平均
となっております。
(一般歯科は、矯正治療に関しては、無資格のため安価の場合があります。)
当院は、基本料金+調整費 総額 85万+税 平均金額よりも15万前後 低い設定と
なっております。しかも、2回目以降クリーニングが無料
金利なし、手数料なしの現金分割払いにも対応します。
現金分割払いは、デンタルローン比較して 、金利分の10万~20万を多く払う
必要がないことが、プラス評価となります。
クレジットカード各種、金利や手数料がかからない現金院内分割 最大20回まで
医療費控除
矯正治療は、毎回ドクターが行う。歯科衛生士が歯ブラシ指導・歯のクリーニングを行う。
毎回クリーニング無料(6名の歯科衛生士)
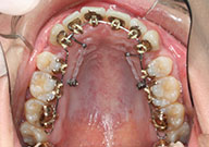
裏側矯正

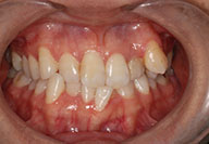
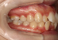
治療前

治療中

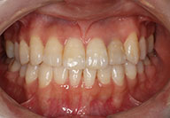
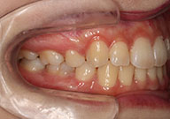
治療後

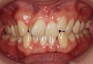
治療前

治療中

治療後

治療前

治療中

治療後